Testiran sićušni čip koji vraća vid, rezultati su odlični
OSOBE koje su izgubile vid zbog čestog i dosad neizlječivog stanja povezanog sa starenjem sada ponovno mogu čitati zahvaljujući revolucionarnom elektroničkom očnom implantatu. Čip je uspješno je isproban u Ujedinjenom Kraljevstvu i nudi novu nadu pacijentima, piše Sky News.
Sićušni uređaj, dimenzija samo 2x2 milimetra i dvostruko tanji od ljudske vlasi, predstavlja prekretnicu u razvoju umjetnog vida, ističu stručnjaci.
Ugrađen ispod mrežnice, sloja tkiva osjetljivog na svjetlost, implantat omogućuje pacijentima da vide slova, brojeve i riječi okom koje je prethodno bilo slijepo. Zahvaljujući takozvanom "protetskom vidu", neki pacijenti sada mogu čak rješavati križaljke i čitati sitna slova na naljepnicama lijekova.
Uređaj, poznat kao Prima, mijenja život pacijentima, rekao je Mahi Muqit, viši vitreoretinalni konzultant u bolnici Moorfields Eye Hospital.
"Imam sve te pacijente koji su slijepi, i kad ih vidite, žele znati: postoji li nešto što može vratiti vid? A odgovor je uvijek bio ne", rekao je Muqit, dodavši da se taj odgovor sada promijenio. "Imamo neke pacijente koji sada čitaju knjige. Njihova kvaliteta života je mnogo viša."
Nalazi, objavljeni u časopisu New England Journal of Medicine, pokazuju da je 84% pacijenata u ispitivanju moglo čitati slova, brojeve i riječi koristeći Primu. U prosjeku su mogli pročitati pet redaka na tablici za vid, dok prije ugradnje uređaja neki nisu mogli ni vidjeti tablicu.
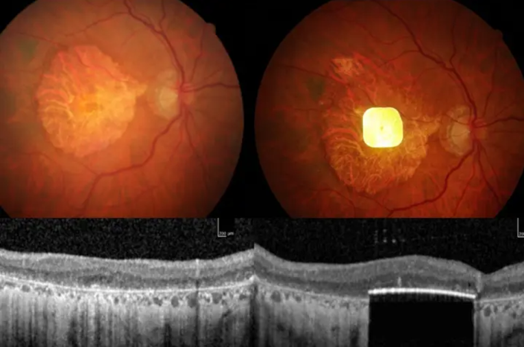
Kako funkcionira uređaj
Revolucionarno globalno ispitivanje uključivalo je 38 pacijenata na 17 lokacija u pet zemalja. Svi sudionici imali su stanje poznato kao geografska atrofija (GA), napredni oblik suhe starosne makularne degeneracije (SMD). GA, koja pogađa otprilike pet milijuna ljudi diljem svijeta i može dovesti do potpunog gubitka vida. Procjenjuje se da otprilike jedna od četiri zakonski slijepe osobe u Velikoj Britaniji ima GA kao posljedicu SMD-a.
Tijekom zahvata, kirurzi umeću sićušni čip ispod mrežnice. Za gledanje i čitanje, pacijenti nose naočale s proširenom stvarnošću koje imaju ugrađenu kameru, povezanu s malim računalom na pojasu. Kamera šalje infracrvenu zraku čipu i aktivira ga. Umjetna inteligencija u računalu obrađuje sliku i pretvara je u električni signal, koji putuje kroz mrežnicu i optički živac do mozga, gdje se tumači kao vid.
'Nova era' u umjetnom vidu
Zahvati su se odvijali u bolnici Moorfields Eye Hospital u Londonu prije otprilike tri godine. Operacije su trajale manje od dva sata. Sheila Irvine, jedna od pacijentica koja je sudjelovala u ispitivanju, rekla je da je prije operacije njezin vid "bio poput dva crna diska" u očima. Sada može čitati recepte, rješavati križaljke i čitati sastojke na limenkama.
"Nije bilo boli tijekom operacije, ali ste i dalje svjesni što se događa", rekla je Irvine. "To je novi način gledanja kroz oči, i bilo je izuzetno uzbudljivo kad sam počela vidjeti slova."
Muqit je zaključio da uređaj Prima omogućuje pacijentima koji se mogu osjećati depresivno i društveno izolirano "da počnu funkcionirati i raditi stvari u kojima su nekada uživali".
"Ovo predstavlja novu eru", rekao je. "Slijepi pacijenti zapravo mogu imati značajnu obnovu središnjeg vida, što nikada prije nije bilo učinjeno."
bi Vas mogao zanimati
Izdvojeno
Pročitajte još
bi Vas mogao zanimati