Revolucija u stomatologiji: Zubi iz laboratorija postaju stvarnost
MNOGI se ljudi boje posjeta zubaru, i to s dobrim razlogom. Ugradnja umjetnog zuba često podrazumijeva invazivnu operaciju, ugradnju titanskog vijka u čeljust i višemjesečno čekanje da implantat sraste s kosti prije postavljanja krunice. No, toj bi praksi uskoro mogao doći kraj jer istraživački timovi diljem svijeta rade na uzgoju pravih, bioloških zuba izravno u ljudskoj čeljusti, piše CNN.
Proboj na King's Collegeu
Iako se čini kao daleka budućnost, na King's Collegeu u Londonu, Ana Angelova Volponi, ravnateljica poslijediplomskog programa iz regenerativne stomatologije, već gotovo dva desetljeća eksperimentira sa zubima uzgojenim u laboratoriju. Još 2013. godine bila je dio tima koji je uspio uzgojiti zub iz ljudskih i mišjih stanica. Ove godine vodila je studiju koja je nadogradila taj rad i postigla ključan proboj u materijalu koji služi kao "okruženje" za razvoj zuba u laboratoriju, vjernije oponašajući uvjete u ustima. To je važan korak prema potpunoj zamjeni mišjih stanica ljudskima.
Ideja o stvaranju laboratorijski uzgojenih zuba seže u 1980-e, no zub koji su Volponi i njezini kolege stvorili prije više od desetljeća bio je prvi koji je koristio odrasle ljudske stanice desni, kombinirane s "progenitorskim" zubnim stanicama iz mišjeg embrija. "To je gotovo poput stativa", rekla je o elementima potrebnim za uzgoj zuba. "Dvije vrste stanica sudjeluju u stvaranju zuba, u svojevrsnom razgovoru, a zatim imamo okruženje u kojem se to događa."
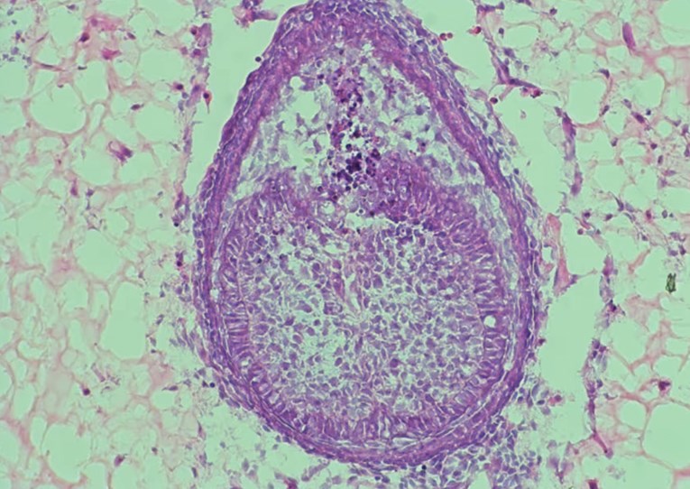
To okruženje, koje znanstvenici nazivaju "skelom", ključno je za uspjeh. U najnovijoj studiji, umjesto kolagena korištenog 2013., tim sada koristi hidrogel, polimer s visokim udjelom vode. "Prvo prikupljamo stanice iz mišjih embrija, zatim ih miješamo i centrifugiramo kako bismo dobili malu staničnu kuglicu. Zatim ubrizgavamo tu kuglicu u hidrogel i uzgajamo je oko osam dana", objasnio je Xuechen Zhang, doktorand na King's Collegeu i koautor studije. Nakon osam dana, unutar hidrogela formiraju se strukture nalik zubima. U prethodnom istraživanju, takvi "zubni zameci" preneseni su u miša gdje su se razvili u zubnu strukturu s korijenom i caklinom.
Iako preostaju brojni izazovi, Volponi predviđa dva moguća scenarija za buduću primjenu: "Ili uzgajamo zub do određene faze razvoja, a zatim ga ugrađujemo u zubnu čašicu, gdje će se u potpunosti razviti i integrirati s kosti i ligamentima. Ili, prvo u potpunosti uzgojimo zub, a zatim ga kirurški implantiramo. Još je prerano reći koji će pristup biti održiviji."
Prednosti pravih zuba
Pravi, biološki zamjenski zub uzgojen iz vlastitih stanica pacijenta nudio bi brojne prednosti u odnosu na današnje implantate. Tijelo bi ga prihvatilo bez upale ili odbacivanja, a osjećaj bi bio identičan pravom zubu - za razliku od implantata kojima nedostaju osjet i elastičnost jer su srasli s kosti. Vitor C. M. Neves sa Sveučilišta u Sheffieldu, koji nije bio uključen u studiju, istaknuo je da je Volponi pionirka u ovom području te da njezino novo istraživanje rješava ključan faktor za buduću primjenu ove tehnologije. "Što više istraživača doprinese napretku ovog područja, to će prije čovječanstvo moći ubrati njegove plodove", dodao je.
Globalna utrka za novi osmijeh
I drugi timovi diljem svijeta koriste različite pristupe. U Osaki, Katsu Takahashi i njegovi kolege razvijaju terapiju temeljenu na antitijelima koja potiče rast zuba kod ljudi s urođenim nedostatkom zuba. Njihov lijek već je u fazi kliničkih ispitivanja na ljudima i mogao bi biti dostupan do kraja desetljeća. Krajem prošle godine, tim Pamele Yelick sa Sveučilišta Tufts uzgojio je zube nalik ljudskima u svinjama, koristeći kombinaciju ljudskih i svinjskih stanica. Krajnji cilj je potaknuti rast novih zuba u ljudskoj čeljusti bez upotrebe životinjskih stanica.
Na Sveučilištu u Washingtonu, tim Hannele Ruohola-Baker uspješno je uzgojio matične stanice zubne pulpe iz ljudskih matičnih stanica. "Cilj nam je otkriti molekularni nacrt formiranja ljudskog zuba i ponovno stvoriti taj proces u laboratoriju", rekla je. Što se tiče vremenskog okvira, Ruohola-Baker je optimistična: "Iako će klinička primjena potrajati, zamah u ovom području se ubrzava, najavljujući budućnost u kojoj biološki popravak ili zamjena zuba postaje realna opcija unutar sljedećeg desetljeća."
bi Vas mogao zanimati
Izdvojeno
Pročitajte još
bi Vas mogao zanimati